Veneers | Lumineers
Veneers and Lumineers are very thin pieces of durable, tooth shaped porcelain that are custom made (for shape and color) by a professional dental laboratory. They are bonded onto the front of teeth to create a beautiful and attractive smile.Veneers and lumineers can completely reshape your teeth and smile. They can often be alternatives to crowns and be the ideal solution in treating many dental conditions.
As with most dental restorations, veneers/lumineers are not permanent and will someday have to be replaced. Although they are very durable and may last many years, giving you a beautiful long lasting smile, they are not as durable as crowns or your natural teeth.
Reasons for porcelain veneers:
- Cosmetically, to create a uniform, white, beautiful smile
- Crooked teeth
- Misshapen teeth
- Severely discolored or stained teeth
- Teeth that are too small or large
- Unwanted or uneven spaces
- Worn or chipped teeth
What does getting Veneers | Lumineers involve?
Getting veneers usually requires two visits to complete the process, with little or no anesthesia required during the procedure. The teeth are prepared by lightly buffing and shaping the surface to allow for the thickness of the veneer. A mold or impression of the teeth is taken and a shade (color) will then be chosen by you and the dentist.On the second visit the teeth will be cleansed with special liquids to achieve a durable bond. Bonding cement is then placed between the tooth and veneer and a special light beam is used to harden and set the bond.
What is the difference between standard veneers and lumineers?
Standard Veneers require enamel to be cut off in order to properly fit and look natural. They are usually made out of porcelain with a thickness of about 1 millimeter. This usually requires the removal of the enamel equal to the thickness of the veneer, in order to make them look natural and translucent.
Lumineers, also known as No-prep Veneers, involve little to no cutting of natural enamel. Lumineers/No-prep Veneers are essentially very thin versions of the standard veneer. They are made out of special porcelain with a thickness as little as .3 millimeters or the thickness of a contact lens. Because of the their minimal thickness, more tooth structure can be preserved. Special patient case selection is required for lumineers/no-prep veneers to achieve the best results. One of the major downfalls to lumineers/no-prep veneers is that the teeth may look larger and bulkier because you are removing little to no tooth structure.
Standard Veneer |
Lumineer/No-Prep Veneer |
|
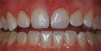
| Before Standard Veneers: | Before Lumineers/No-Prep Veneers : | |
![]() |
![]() |
|
| Mold of Standard Veneer Prep: | After Minimal to No preparation of teeth : | |
![]() |
![]() |
|
| After Final Delivery of Standard Veneers: | Final Delivery of Lumineers/No-Prep Veneers: | |
![]() |
![]() |





